女子整理衣柜竟致肺部“发霉”!快检查,你家可能也有
发布日期:2025-05-23 00:09 点击次数:58
“全身不舒服,发热,体温最高到了40℃,还咳嗽……”
近日,浙江杭州一女子整理衣柜后出现身体不适,到医院就诊后发现,竟是因肺部“发霉”引起的,这究竟是怎么回事?
高烧40℃,肺部长满菌斑
女子整理衣柜后病倒
天气渐暖,浙江杭州的沈女士趁着休息开始了“换季工程”。不料,整理完衣柜后,她竟病倒了,于是沈女士立即前往医院就诊。
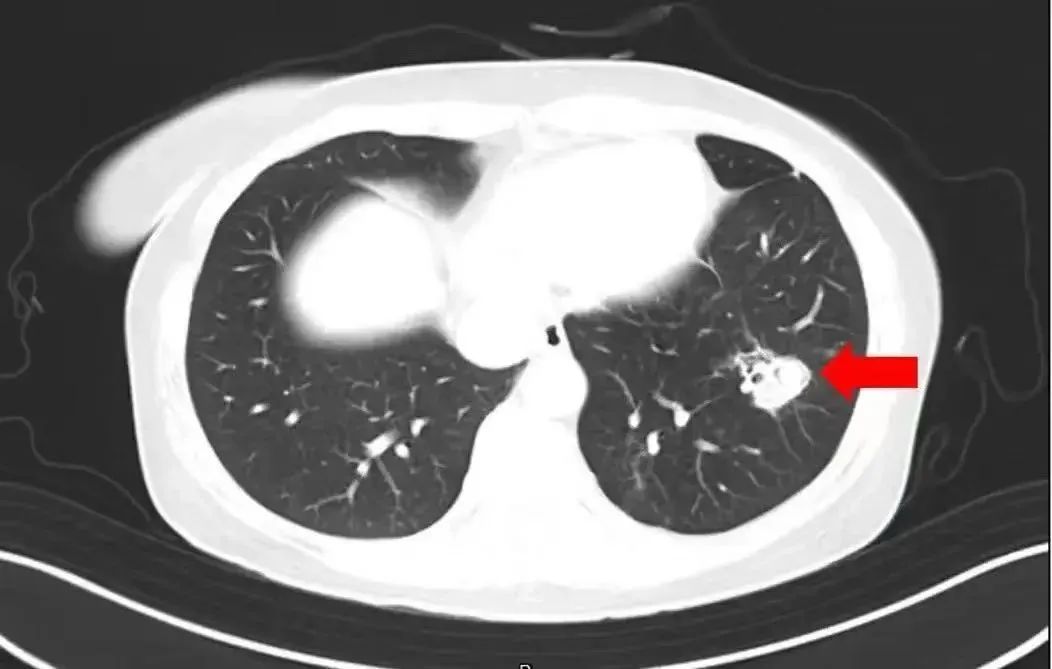
医生通过问诊了解到,沈女士在整理衣柜时发现里面长了霉斑,于是对衣柜做了清理,但清理时没戴口罩 。为进一步确诊病情,医生为沈女士进行纤维支气管镜检查及肺泡灌洗液病原体检测,果然发现气道壁上有大量白色菌斑,化验后确认是曲霉菌。

经抗真菌及综合支持治疗后,目前,沈女士已康复出院。
曲霉菌是如何长进肺里的
不慎吸入怎么办?
曲霉菌是一种真菌,被世界卫生组织列为1级致癌物质,其毒性是砒霜的66倍。它广泛存在于自然界中,主要以枯死植物、动物排泄物及尸体为营养源。
人体免疫系统受到攻击或免疫力较弱时,曲霉菌就可能进入肺部,引起肺曲霉病。
临床上,肺曲霉病分为侵入性肺曲霉菌病、肺曲霉球、气管支气管曲霉病等类型,常见症状包括:
持续高热不退,服用常规退烧药难以奏效;
咳嗽症状加重,伴有胸痛、呼吸困难;
痰液呈棕褐色或痰中带血丝;
出现鼻塞、流脓涕、面部疼痛等鼻窦炎症状,严重时可导致呼吸衰竭甚至危及生命。
不慎吸入曲霉菌后,突发咳嗽、呼吸困难等症状后,应该:
第一时间离开曲霉菌、粉尘较多的环境;
站位变坐位且前倾身体,此时膈肌会下移,呼吸道被打开,肺容积增大;

使用腹式呼吸,并尽量缓解紧张情绪;
及时用药并就医,有支气管哮喘病史者建议随身携带急救药物。
家中这些地方易生霉菌
如何做好防护?
霉菌感染和环境有一定关系,通风不良、潮湿的房间里,很容易滋生霉菌。

尤其是墙角、窗台、浴室、厨房水池灶台、厨具、餐具、调料、冰箱内部和密封条、洗衣机内部、空调、长时间不用的书籍和地毯等地方,都容易滋生霉菌。
那么,如何预防肺曲霉病?
及时做好居家清洁工作
居室:尽量在房间对角线方向上打开至少两扇窗户换气;或使用空调除湿功能来降低屋内湿度;定期晾晒被褥,勤打扫,及时清理发霉物品。

厨房:可经常打开厨房排风扇通风。
浴室:浴室内最易滋生霉菌,应避免在此晾晒衣物;日常可在打扫后使用除霉专用喷雾剂。

布艺:布艺沙发等家具也易滋生霉菌,应定期清洗沙发套,并在阳光下暴晒。

清洁时佩戴口罩
清除霉菌时应佩戴口罩、手套,以免吸入引发疾病。还可视情况戴上护目镜,以防清洁剂溅入眼睛,造成眼部损伤。
不要囤积过多的食物
一旦发现食物发霉要及时扔掉,尽量少吃隔夜的食物。
提高自身免疫力
多参加体育锻炼,保持充足睡眠,补充优质蛋白质,提高免疫力。
温馨提醒:宅家收拾或大扫除时,请采取必要防护措施,如在此后出现反复咳嗽、气喘等症状,经常规治疗效果不佳,应尽早到医院就诊,确定是否感染肺曲霉病,以免延误病情,造成严重后果。
本文来源:央视新闻微信公众号综合国家应急广播、科普中国、健康杭州等

